Stacks Image 72
Bewegen Sie ihren Mauszeiger auf die untenstehenden Fallbeispiele, um diese anzuzeigen. Für eine grössere Ansicht können Sie das Bild auch anklicken, um es vergrössert in einem neuen Fenster zu betrachten.
Stacks Image 32
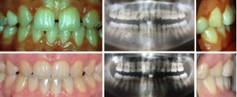
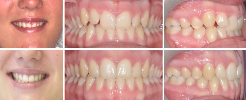
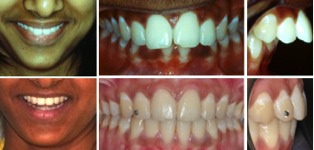
Fall 1: Vergrösserter Überbiss durch Unterkieferrücklage
Therapie: Nachtspange und festsitzende Spange
Stacks Image 41
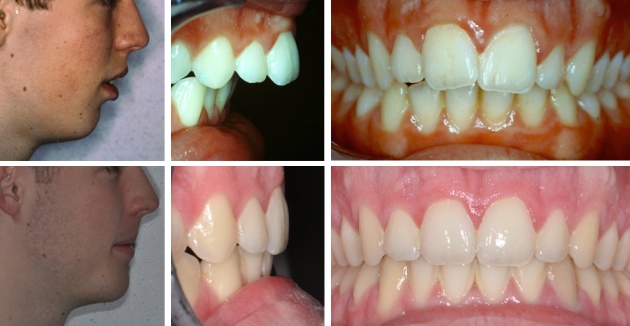
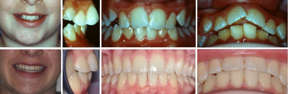
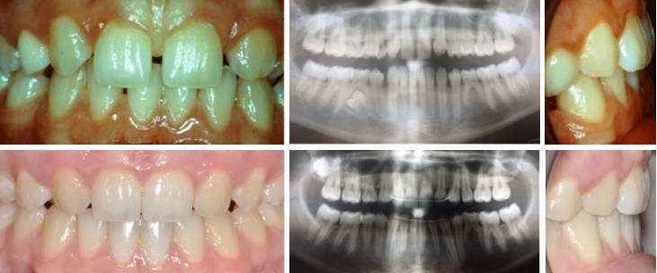
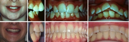
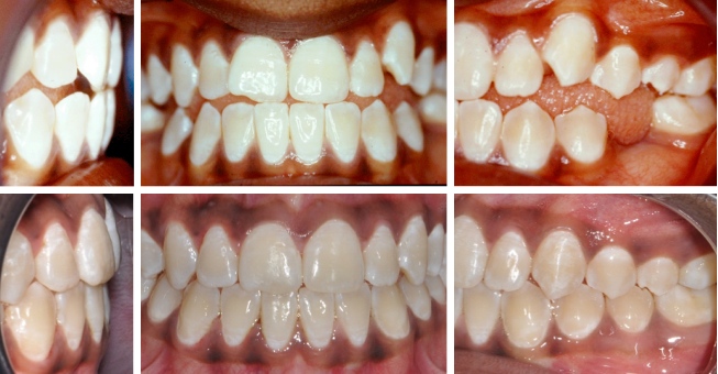
Fall 2: Offener Biss und Engstände
Therapie: Vollfixe Spange und Chirurgie
Stacks Image 80
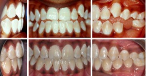
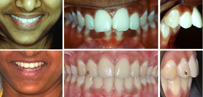
Fall 3: Aufgewanderte Zahnreihe
Therapie: Spezialapparatur zum zurückschieben der Zähne und Gartenhag nur im Oberkiefer notwendig
Stacks Image 88
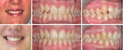
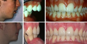
Fall 4: Kopfbiss / Unterkiefervorlage mit seitlich offenem Biss
Therapie: Festsitzende Spange
Stacks Image 109
Fall 5: Vergrösserter Überbiss und Tiefbiss
Therapie: Extraktion von zwei Zähnen im Oberkiefer sowie Gartenhag
Stacks Image 133
Fall 6: Vergrösserter Überbiss / Operativer Fall
Therapie: Vollfixe Spange und Chirurgie
Stacks Image 125
Fall 7: Engstand und vergrösserter Überbiss
Therapie: Extraktion von 4 Zähnen sowie Gartenhag
Stacks Image 117
Fall 8: div. Nichtanlagen (Fehlen von Zähnen) und verlagerter Zahn
Therapie: Anschlingung und Plättlispange